সর্বশেষ খবর
Home / জীবনযাপন

জীবনযাপন

নোয়াখালীতে প্রবাসীকে নিয়ে বাড়ি ফেরার পথে নিয়ন্ত্রণ হারিয়ে মাইক্রোবাস খালে, নিহত ৭

নোয়াখালীর বেগমগঞ্জে সড়ক দুর্ঘটনায় একই পরিবারের সাতজন নিহত হয়েছেন। বুধবার (৬ আগস্ট) ভোরে উপজেলার আলাইয়াপুর ইউনিয়নে এ মর্মান্তিক ঘটনা ঘটে। বুধবার (৬ আগস্ট) সকালে উপজেলার চন্দ্রগঞ্জ পূর্ব বাজার বড় মসজিদের কাছে লক্ষ্মীপুর-নোয়াখালী সীমানায় এ ঘটনা ঘটে। নিহতদের মধ্যে তিনজন নারী ও চারজন শিশু। তাৎক্ষণিকভাবে তাদের পরিচয় জানা যায়নি। জানা গেছে, …

Read More »

কক্সবাজার রামুতে ট্রেনের ধাক্কায় সিএনজির ৫ যাত্রী নিহত

কক্সবাজারের রামুতে এক্সপ্রেস ট্রেনের ধাক্কায় সিএনজির পাঁচ যাত্রী নিহত হয়েছেন। শনিবার (২ আগস্ট) দুপুর ২টার দিকে এ দুর্ঘটনা ঘটে। তবে তাৎক্ষণিকভাবে নিহতদের নাম পরিচয় জানা যায়নি। বিষয়টি নিশ্চিত করেছেন রামু থানার ওসি তৈয়বুর রহমান। তিনি বলেন, ট্রেনের ধাক্কায় সিএনজিচালিত অটোরিকশাটি ছিটকে যায়। এতে চালক শাহাব উদ্দিন, যাত্রী মর্জিনা ও তার …

Read More »

দুপুরের মধ্যে যেসব অঞ্চলে ঝড়বৃষ্টির আভাস

দুপুরের মধ্যে ঘণ্টায় সর্বোচ্চ ৬০ কিলোমিটার গতিবেগে ঝড়ো হাওয়া বইতে পারে দেশের দক্ষিণ ও দক্ষিণ-পূর্বাঞ্চলের সাতটি জেলায়। সেই সঙ্গে থাকতে পারে বৃষ্টি অথবা বজ্রবৃষ্টি বলে জানিয়েছে আবহাওয়া অধিদপ্তর। রোববার (২৭ জুলাই) সকাল ৫ থেকে পরবর্তী ৮ ঘণ্টার আবহাওয়া অধিদপ্তরের এক বিজ্ঞপ্তিতে এসব তথ্য জানিয়েছ এতে বলা হয়েছে, রোববার ভোর ৫টা …

Read More »

প্যারাসিটামলে নষ্ট হতে পারে লিভার, কিডনি

ব্যাথানাশক ওষুধের অন্যতম ভরসার নাম প্যারাসিটামল। তবে যারা নিয়মিত এই ওষুধ খান তাদের জন্য একটি উদ্বেগজনক স্বাস্থ্য সতর্কতা জারি করেছেন বিশেষজ্ঞরা। সম্প্রতি নতুন একটি গবেষণায় দেখা গেছে, প্যারাসিটামলে হতে পারে লিভারের ক্ষতি।  স্কটল্যান্ডের ইউনিভার্সিটি অব এডিনবরার বিজ্ঞানীরা ইঁদুরের ওপর গবেষণা করে এমনটি জানিয়েছেন।  বিগত কয়েক বছর ধরে সমীক্ষা চালিয়ে গবেষকেরা …

Read More »

বসে কাজ করার কুফল ও প্রতিকার

অনেকক্ষণ বসে থাকার ফলে ধীরে ধীরে শরীরে বাঁধতে শুরু করে নানা রোগ ব্যাধি, যা কখনো মারাত্মক রূপও ধারণ করতে পারে।গবেষণায় দেখা গেছে উচ্চ রক্তচাপ, ডায়াবেটিস, কোমরে চর্বিজমা, রক্তে অতিরিক্ত কোলেস্টেরল, হার্টের সমস্যা, ওজন বৃদ্ধি পাওয়া ইত্যাদি সমস্যাগুলো যারা বসে কাজ করেন তাদের মধ্যে বেশি। ‘সেডেন্টারি লাইফস্টাইল’ শব্দটির সঙ্গে আমরা সবাই …

Read More »

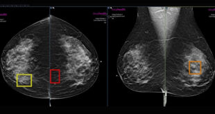
স্তন ক্যান্সার শনাক্তে ভূমিকা রাখবে এআই!

স্তন ক্যান্সার শনাক্তে কৃত্রিম বুদ্ধিমত্তা (এআই) কার্যকর ভূমিকা রাখতে পারে বলে একটি মার্কিন গবেষণায় উঠে এসেছে। স্তন-স্ক্রিনিং প্রোগ্রাম ম্যামোগ্রাফি স্ক্রিনিংয়ে কৃত্রিম বুদ্ধিমত্তা (এআই) ব্যবহারে দারুণ ফল পেয়েছেন গবেষকরা। তাদের দাবি, এআই দিয়ে স্ক্যান করা হলে স্তন ক্যান্সার শনাক্ত হওয়ার সম্ভাবনা ২১ শতাংশ বেশি। রেডিওলজিক্যাল সোসাইটি অব নর্থ আমেরিকার (আরএসএনএ) বার্ষিক …

Read More »

সন্তানকে যে ৭ জিনিস কিনে দেবেন না

সন্তানের অবুঝ বায়না, আবদার বা জেদের মুখোমুখি পড়তে হয় কমবেশি সকল অভিভাবককেই। তার মোকাবিলাও করার চেষ্টা করেন তাঁরা নিজেদের মতো করে। শিশুকে শান্ত রাখতে তার মনমতো জিনিসও কিনে দিতে শুরু করেন। আর এখান থেকেই শুরু হয় সমস্যা। আসলে বায়না ও আবদার একই রকম শোনালেও তার অর্থ আলাদা। কোনো কিছু কিনে …

Read More »