সর্বশেষ খবর
Home / জীবনযাপন / স্তন ক্যান্সার শনাক্তে ভূমিকা রাখবে এআই!

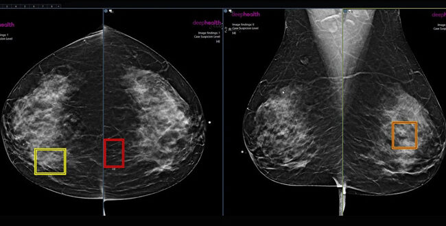
স্তন ক্যান্সার শনাক্তে ভূমিকা রাখবে এআই!

স্তন ক্যান্সার শনাক্তে কৃত্রিম বুদ্ধিমত্তা (এআই) কার্যকর ভূমিকা রাখতে পারে বলে একটি মার্কিন গবেষণায় উঠে এসেছে। স্তন-স্ক্রিনিং প্রোগ্রাম ম্যামোগ্রাফি স্ক্রিনিংয়ে কৃত্রিম বুদ্ধিমত্তা (এআই) ব্যবহারে দারুণ ফল পেয়েছেন গবেষকরা। তাদের দাবি, এআই দিয়ে স্ক্যান করা হলে স্তন ক্যান্সার শনাক্ত হওয়ার সম্ভাবনা ২১ শতাংশ বেশি।

রেডিওলজিক্যাল সোসাইটি অব নর্থ আমেরিকার (আরএসএনএ) বার্ষিক সভায় এই ফল উপস্থাপন করে রেডিওলজি জায়ান্ট র‌্যাডনেটের মালিকানাধীন এআই ফার্ম ডিপহেলথ।

১২ মাসে সাত লাখ ৪৭ হাজার ৬০৪ জন নারীর ওপর ম্যামোগ্রাফি স্ক্রিনিংয়ের পর এই ফলাফল উপস্থাপন করে র‌্যাডনেট।

অনুষ্ঠানে জানানো হয়, গবেষণার আওতাধীন নারীদের অনেকে ম্যামোগ্রাফিতে মার্কিন খাদ্য ও ওষুধ প্রশাসনের এআই সফটওয়্যার বেছে নেন। চিকিৎসকের চোখ এড়িয়ে গেলেও ওই সফটওয়্যার ক্যান্সারের জীবাণু শনাক্তে সহযোগিতা করায় ম্যামোগ্রাফিতে এটি ‘দ্বিতীয় চোখ’ হিসেবে বিবেচনা করা হয়।

এই প্রকল্পে যেসব নারী অংশগ্রহণ করেন বাকিদের চেয়ে তাদের মধ্যে ক্যান্সার শনাক্তের হার ৪৩ শতাংশ বেশি ছিল বলে জানানো হয়।

তবে স্তন ক্যান্সারের উচ্চ ঝুঁকিতে থাকা নারীদের ওপরই শুধু এআইয়ের পরীক্ষা চালানো হয়। ফলে ৪৩ শতাংশ বেশি শনাক্ত হারকে বিবেচনায় নেয়া হয়নি। পরে সার্বিকভাবে এই হার ২২ শতাংশ বলে জানানো হয় এবং শেষ পর্যন্ত তা ২১ শতাংশের কম নয় বলে যুক্তি উপস্থাপন করা হয়।

গবেষকরা বলছেন, তারা এখন এআই থেকে আরো বেশি সুবিধা কিভাবে নেয়া যায়, তার চেষ্টা করছেন।
সূত্র : ইউএনবি

 

About Editor Todaynews24

Check Also

প্যারাসিটামলে নষ্ট হতে পারে লিভার, কিডনি

ব্যাথানাশক ওষুধের অন্যতম ভরসার নাম প্যারাসিটামল। তবে যারা নিয়মিত এই ওষুধ খান তাদের জন্য একটি …

Leave a Reply

Your email address will not be published. Required fields are marked *